Orthodontic treatment with fixed dental braces is aimed at not only aesthetics but very frequently improves the condition of periodontium and eliminates disorders of temporomandibular joints. Can be also helpful in preparation for some prosthetic, surgical or implant procedures. The duration of the treatment is usually 2 years. Depending on a patient’s predispositions and the doctor’s recommendations, there is a wide variety of dental braces that can be used – starting from metal braces and ending with totally invisible lingual braces.
Metal braces
|
Esthetic braces
|
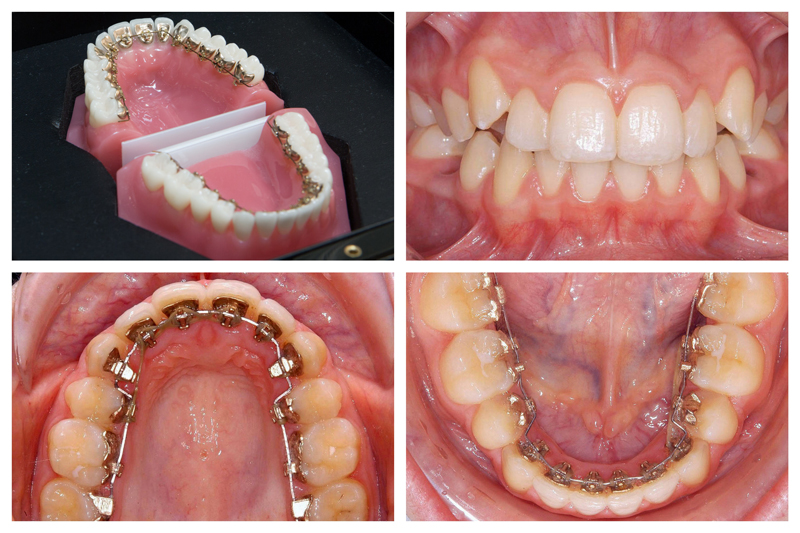
Gold braces
|
Lingual braces 2D
|
Lingual braces 3D
|
Treatment process
- Preparing patient’s medical documentation
- Orthodontic consultation
- Putting on dental braces
- Follow-up visits
- Removing the braces
- Retention period

RETENTION
After the end of orthodontic treatment is necessary to stabilize or retain the teeth for a much longer with the retainer or/and the positioner. The retention period extends for a few years after removing the braces. The patient has to come for follow-up visits during the retention period. The first visit should take place about 3 months after the removal of the braces and the next visits every 6 months. The doctor checks the retainer or/and a positioner and condition of the teeth.
Treatment Effects

home











